Ecógrafos GE HealthCare » VOLUSON SIGNATURE 18
El nuevo Voluson Signature 18 continúa nuestro legado de innovación y dedicación para crear un futuro más saludable para las mujeres. Con tecnologías migradas de nuestra plataforma premium Voluson Expert, aprovechamos aplicaciones clínicas avanzadas para una calidad de imagen excepcional, soluciones de flujo de trabajo innovadoras y un diseño transformador para una experiencia de ultrasonido superior.
• Voluson Unity Architecture
• High resolution 23.8” LCD Monitor
• Lightweight and maneuverable
• RadiantflowTM
• Autolive
• Battery pack
• Sleep Mode – Fast Wake – Fast Boot-up
• Probe Favorites
• HDliveTM technologies
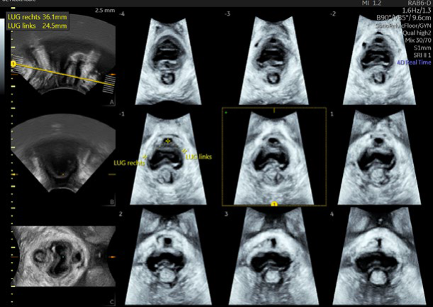
• Advanced VCI with OmniView
• Uterine Trace & Spine Trace
• SonoAVCTM & Auto Caliper measurements for follicles
• Advanced STIC
• AI based image guidance with SonoLyst*live
• AI based functionality with fetalHS, SonoCNS, SonoPelvicFloor 2.0
• SonoGYN with Fibroid Mapping
• Automation technologies with SonoBiometry, SonoNTTM, SonoIT
• Scan Assistant with SonoLyst image recognition
• XDclearTM Probes
• 3D Printing capabilities
• Voluson Image Portal
• Cable management
• Reminders
• Quick Setup Wizard
• Vscan AirTM CL integration
El Voluson Signature 18 se basa en un nuevo motor de imágenes: la arquitectura Voluson Unity, que ofrece velocidades de procesamiento y velocidades de fotogramas más rápidas que nuestros sistemas Signature anteriores. Este hardware y software son la base del sistema y sientan las bases para las capacidades actuales y futuras. Experimente ahora un nuevo nivel de profundidad y claridad.
Procesamiento rápido de volumen 3D/4D
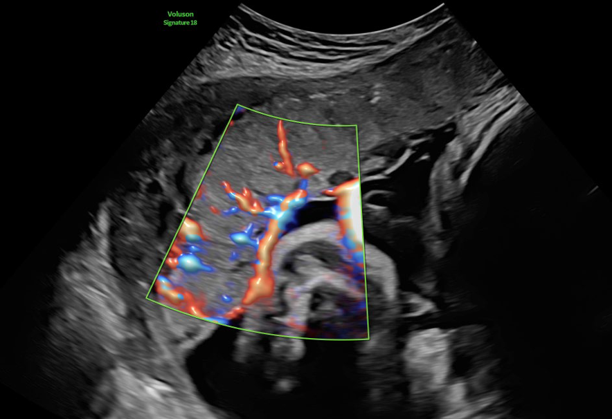
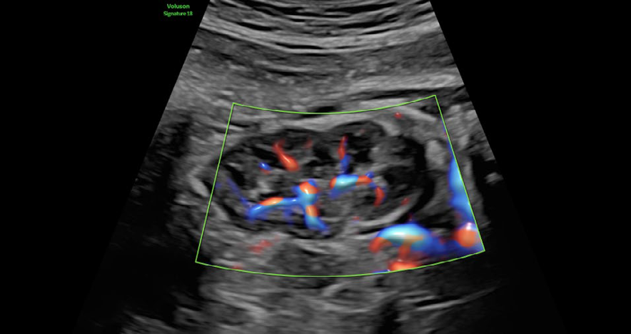
Calidad de color mejorada y mayor sensibilidad
El Voluson Signature 20 se basa en un nuevo motor de imágenes





















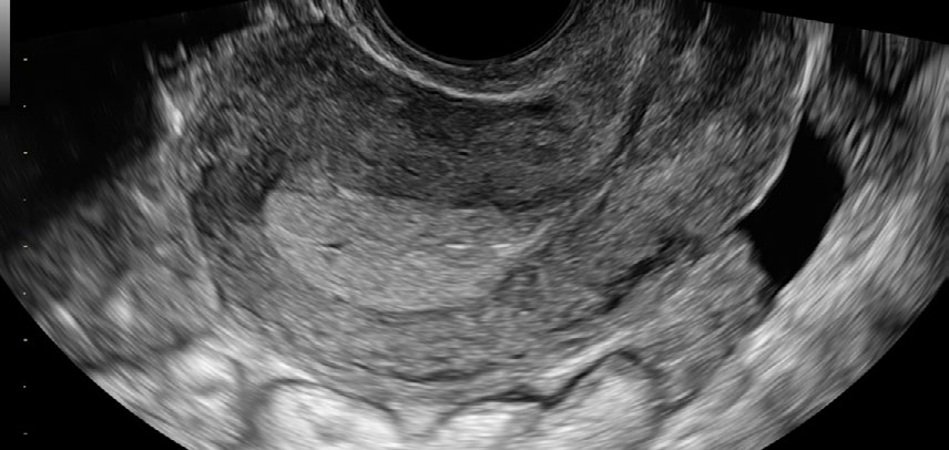
Con solo tocar un botón, reduzca el ruido y aumente la penetración incluso en los pacientes más difíciles para obtener imágenes limpias, sólidas y homogéneas.
Reduce las sombras en las imágenes que pueden oscurecer las estructuras adyacentes ayudando a restaurar la información y los bordes del tejido.
Separación mejorada entre vasos sanguíneos que proporciona la percepción de un flujo sanguíneo dinámico, añade información de altura y profundidad para una apariencia 3D, Menos destellos, límites vasculares mejorados e Identificación fácil y rápida incluso de los vasos más pequeños.
Contáctanos
098 987 3689
099 322 4941
Correo Electrónico
Dirección
Cll 5ta 407 y Datiles, Urdesa Central, Esquina de Dátiles y, Carlos Cueva Tamariz, Guayaquil 090507
Visita nuestras redes